-
KUIDAS OTSIDA TOOTEID:
Soovitame kasutada otsingukasti valdkonnas veebilehe ülaservas. Kirjutage toote nimetus, kood või märksõna(d). Kui te ei leia soovitud toodet, võtke meiega ühendust.
-
KUIDAS SAADA HINNAPAKKUMIST:
Kõigepealt peate Te registreeruma. Registreeritud kasutajad saavad valida tooteid ja saata hinnapäringuid. Pärast päringu esitamist saadame Teile hinnapakkumuse.
-
MIKS ORDER E-LABOCHEMA?
Rohkem tooteid, rohkem teavet jning saate jälgida oma tellimuste kulgu ja ajalugu. Lithne moodus oma labori varustamiseks vajalike toodetega!



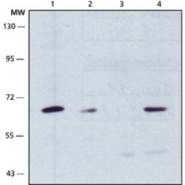
ANTI-SDCBP ~1.0 mg/mL, affinity isolated antibody, buffered aqueous solution,
ANTI-PMP22 ~1.0 mg/mL, affinity isolated antibody, buffered aqueous solution,