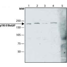
ANTI-P190-B RHOGAP (C-TERMINAL REGION)

    Rohkem vaateid

    • ANTI-P190-B RHOGAP (C-TERMINAL REGION)
    ANTI-P190-B RHOGAP (C-TERMINAL REGION) ~1.5 mg/mL, affinity isolated antibody, buffered aqueous solution,
    SKU: P0045 SIGMA
    Anti-p190-B RhoGAP (C-terminal region) antibody produced in rabbit
    Tootemark SIGMA
    Pakendi mõõtühik Pack
    Sünonüümid inglise keeles Anti-ARHGAP5; Anti-GFI2; Anti-Growth factor independent 2; Anti-Rho GTPase activating protein 5; Anti-RhoGAP5

    Tootegrupid

    Tootekood Pakkeühik Pakkimisüksus Hind Hind käibemaksuga Kogus Saadavus
    P0045-200UL
    200UL 1
    492,00 €
    600,24 €
    • KUIDAS OTSIDA TOOTEID:

      Soovitame kasutada otsingukasti valdkonnas veebilehe ülaservas. Kirjutage toote nimetus, kood või märksõna(d). Kui te ei leia soovitud toodet, võtke meiega ühendust.

    • KUIDAS SAADA HINNAPAKKUMIST:

      Kõigepealt peate Te registreeruma. Registreeritud kasutajad saavad valida tooteid ja saata hinnapäringuid. Pärast päringu esitamist saadame Teile hinnapakkumuse.

    • MIKS ORDER E-LABOCHEMA?

      Rohkem tooteid, rohkem teavet jning saate jälgida oma tellimuste kulgu ja ajalugu. Lithne moodus oma labori varustamiseks vajalike toodetega!