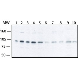
ANTI-EZH2 (N-TERMINAL)

    Rohkem vaateid

    • ANTI-EZH2 (N-TERMINAL)
    ANTI-EZH2 (N-TERMINAL) IgG fraction of antiserum, buffered aqueous solution,
    SKU: E7031 SIGMA
    Anti-EZH2 (N-terminal) antibody produced in rabbit
    Tootemark SIGMA
    Pakendi mõõtühik Pack
    Sünonüümid inglise keeles Anti-ENX-1; Anti-Enhancer of zeste homolog 2 (Drosophila)

    Tootegrupid

    Tootekood Pakkeühik Pakkimisüksus Hind Hind käibemaksuga Kogus Saadavus
    E7031-200UL
    200UL 1
    595,00 €
    725,90 €
    • KUIDAS OTSIDA TOOTEID:

      Soovitame kasutada otsingukasti valdkonnas veebilehe ülaservas. Kirjutage toote nimetus, kood või märksõna(d). Kui te ei leia soovitud toodet, võtke meiega ühendust.

    • KUIDAS SAADA HINNAPAKKUMIST:

      Kõigepealt peate Te registreeruma. Registreeritud kasutajad saavad valida tooteid ja saata hinnapäringuid. Pärast päringu esitamist saadame Teile hinnapakkumuse.

    • MIKS ORDER E-LABOCHEMA?

      Rohkem tooteid, rohkem teavet jning saate jälgida oma tellimuste kulgu ja ajalugu. Lithne moodus oma labori varustamiseks vajalike toodetega!